Smile Gallery
Restoring Long-Forgotten Smiles
We understand how straight and healthy teeth can boost self-confidence. We also believe aesthetics and functionality go hand in hand to achieve that perfect smile. Working with these principles, we make efforts to provide the highest quality dental care for all those who step into our office. We find ways to create long-lasting smiles that will meet your standards, no matter what type of oral condition you have. From canker sore treatments to implant restorations, Dr. Stahl works to resolve oral problems and help you achieve a healthy, beautiful smile.
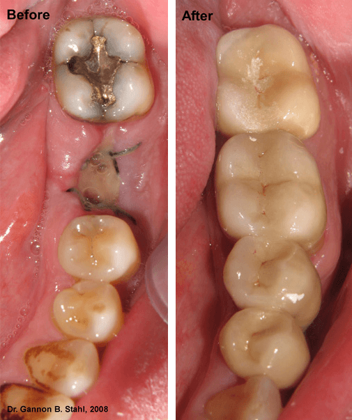
Please feel free to browse through our smile gallery and see how we restored our patients’ long-forgotten smiles. Here are some of the cases we’ve handled in the past.
(All treatment was completed by Dr. Stahl)













